Tomografia Computadorizada em cabeça e pescoço

Desde o advento da tomografia computadorizada, os diagnósticos por imagem ganharam enfático destaque na condução dos mais diversos casos no meio médico e, com a maior especialização dos profissionais radiologistas, as enfermidades em cabeça e pescoço em especial são mais acuradamente avaliadas, permitindo assim melhores resultados para os pacientes-alvo. O método oferece vantagens como o baixo tempo de exame, custo acessível e fácil disponibilidade no mercado, além de não envolver procedimentos invasivos.

 

A tomografia computadorizada multislice em cabeça e pescoço destaca-se principalmente no âmbito oncológico, devido à alta incidência de neoplasias na população em geral. Seja com ou sem o uso endovenoso do meio de contraste iodado, o diagnóstico e o acompanhamento das mais variadas neoplasias, primárias e secundárias, bem como seus desfechos terapêuticos, é essencial para o estudo multidisciplinar dos doentes. Patologias benignas e malignas da cavidade oral, faringe, laringe, glândulas salivares, órbitas, nariz e seios da face são as principais condições que requerem aquisições de imagens.

 

Por apresentar grande segurança ao paciente, a tomografia oferece ainda possibilidades diagnósticas de condições não-neoplásicas. Afecções congênitas, vasculares, inflamatório / infecciosas e traumáticas são exemplos de etiologias frequentemente observadas. O planejamento cirúrgico também é realizado pelo método, com detalhamento anatômico, bem como a evolução pós-operatória, tornando o radiologista decisivo para a saúde populacional.

 

Destacam-se ainda as imagens dos ossos temporais, sítio anatômico tão particular e complexo, que requerem avaliações multiplanares das mastoides, base do crânio e entornos, a fim de elucidar as inúmeras queixas clínicas, não somente em adultos e idosos, mas também na faixa etária pediátrica. Sinusopatias, pesquisa de sialolitíse, avaliação de fraturas, apneia do sono, exoftalmia, rouquidão, caracterização de nódulos cervicais, surdez e otalgia são exemplos de indicações clínicas comuns, percebendo-se desta forma a exuberante diversidade de condições que podem ser flagradas (Fig 1).

 

Procurar um serviço de radiologia e diagnóstico por imagem com tomografia computadorizada multislice é, pelo exposto, imperativo na maioria dos casos de cabeça e pescoço, salienta-se que a comunicação do serviço com os médicos assistentes, notadamente cirurgiões de cabeça e pescoço, oncologistas, otorrinolaringologistas e traumatologistas, é fundamental para uma adequada correlação dos achados visualizados. O serviço Centro Imagem, localizado no Hospital Santa Casa de Misericórdia de Fortaleza, pertencente ao grupo São Carlos Imagem, apresenta diária capacitação dos seus profissionais para oferecer ao cliente um atendimento de qualidade, aliando conhecimentos técnicos e tratamentos humanizados, e dialogando com médicos assistentes para um resultado final satisfatório.

Dr. José Vinícius Maciel – CRM: 17157 / RQE: 15236 Graduação: Medicina Universidade Federal do Ceará Residência: Instituto São Carlos Ensino e Pesquisa/ Hospital São Carlos @viniciusmjr

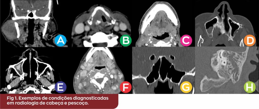
Fig 1. Exemplos de condições diagnosticadas em radiologia de cabeça e pescoço.

 

(A) Reformatação coronal de TC cervical pós-contraste. Formação neoplásica expansiva parotídea à direita em paciente com história de abaulamento local e tabagismo de longa data.

(B)  TC axial cervical pós-contraste. Lesão infiltrativa na glote direita, determinando redução da coluna aérea laríngea, representando carcinoma escamocelular.

(C) TC axial cervical pós-contraste. Extensa neoplasia expansiva ulcerada na base da língua, protruindo para a coluna aérea da orofaringe, especialmente à direita. Linfonodos cervicais suspeitos para acometimento secundário foram evidenciados em diversos níveis (não demonstrado).

(D) TC axial dos seios paranasais janela óssea. Alterações pós-operatórias de trauma na parede anterior do seio maxilar esquerdo, com material de ostessíntese local.

(E) TC axial dos seios paranasais janela de partes moles. Conteúdo hemático e espessamento do revestimento mucoso no seio maxilar direito em paciente com epistaxe.

(F) TC axial cervical pós-contraste. Linfonodos cervicais aumentados em número e várias linfonodomegalias homogêneas em paciente acometida por infecção pelo HIV.

(G) Reformatação coronal de TC dos seios paranasais janela óssea. Os canais dos nervos ópticos apresentam trajeto pelo interior dos seios esfenoidais, que se apresentam hiperaerados e contendo septos ósseos acessórios. Informações anatômicas detalhadas são essenciais no planejamento pré-operatório.

(H) Reformatação coronal de TC das mastoides janela óssea. Opacificação completa das células da mastoide, antro e ádito à esquerda, sem erosão ou esclerose do trabeculado ósseo mastoideo em criança, caracterizando mastoidopatia inflamatória.

Compartilhe:

Deixe um comentário

O seu endereço de e-mail não será publicado. Campos obrigatórios são marcados com *

Previous post O beijo de Giotto – o primeiro da arte Italiana
Next post Medicina e Arte